Frauenarztpraxis Förster - Karl-Liebknecht-Str. 23 - 06773 Gräfenhainichen - Tel. 034953 22058 - foerster.ghc(at)online.de Inhaber Harald Förster - FA für Frauenheilkunde und Geburtshilfe Inhalt Harald Förster
in Gräfenhainichen
Leistungen
I
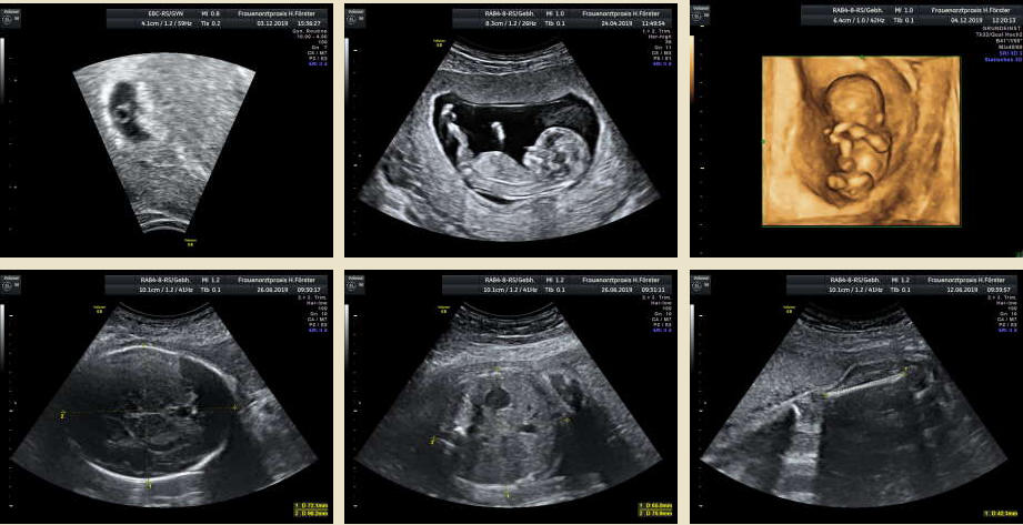
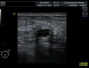
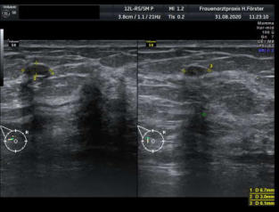
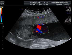
Gynäkologische Grundversorgung Frauenärztliche Krebsfrüherkennungsuntersuchung Nachsorge und supportive Therapie bei bösartigen gynäkologischen Tumoren Impfungen Brustultraschall Ultraschalluntersuchung der weiblichen Genitalorgane Psychosomatische Grundversorgung Chlamydienscreening FOB-Test (früher Hämoccult) Kontrazeption Geburtshilfliche Grundversorgung Geburtshilflicher Basisultraschall Erweiterter Basisultraschall (Organscreening) zw, 18-22.SSW Doppler/Duplexsonografie des fetomaternalen Gefäßsystems Infektionsscreening in der Schwangerschaft CTG (Kardiotokographie) Gynäkologische Grundversorgung Dies umfasst die Abklärung und Behandlung gynäkologischer Erkrankungen. Eine große Rolle dabei spielt das ärztliche Gespräch, ergänzt bei Notwendigkeit durch die gynäkologische Untersuchung oder Untersuchung der weiblichen Brust. In vielen Fällen werden noch Zusatzuntersuchungen durchgeführt (z.B. Ultraschalluntersuchungen, Abstrichentnahmen, Blutentnahmen) oder weiterführende Untersuchungen veranlasst (z.B. Röntgenuntersuchungen). >> zurück << Frauenärztliche Krebsfrüherkennungsuntersuchung Die Krebsfrüherkennungsuntersuchung der Frau ist wahrscheinlich die bekannteste Leistung unseres Fachgebietes. Ab dem Alter von 20Jahren hat jede Frau ein Anrecht auf diese jährliche Untersuchung. Dabei werden der Unterleib der Frau und ab dem Alter von 30Jahren auch die Brüste der Frau systematisch klinisch untersucht. Zusätzlich erfolgte seit vielen Jahren ein Pap-Abstrich vom Gebärmutterhals. So konnten Zellveränderungen meist rechtzeitig erkannt und behandelt werden und es wurde erreicht, daß das früher sehr häufige Zervixkarzinom (Gebärmutterhalskrebs) heute nur noch selten auftritt. Um die Qualität weiter zu verbessern erfolgte 2020 eine Neuordnung des Screenings mit Überarbeitung der Abstrichintervalle und Hinzunahme von HPV-Abstrichen ab 35 als Kassenleistung. >> zurück << Nachsorge und supportive Therapie bei bösartigen gynäkologischen Tumoren Nach Abschluss und oft auch wärend der Primärbehandlung können Probleme auftreten. Es macht also Sinn, sich in regelmäßigen Abständen zu treffen, um das weitere Vorgehen zu planen, eventuell Zusatzuntersuchungen zu veranlassen oder zusätzlich wegen der Beschwerden zu behandeln. Die Nachsorgeuntersuchungen finden anfangs engmaschig statt, später werden die Intervalle länger. >> zurück << Impfungen In Zeiten der Globalisierung, zunehmender Reisefreudigkeit und Zuwanderung werden wir wieder mit Infektionserregern konfrontiert, die wir schon als besiegt geglaubt hatten. Gleichzeitig werden wir immer älter und unser Immunsystem dabei nicht besser. Es reicht nicht, mal eben alle 10Jahre Tetanus zu impfen. Sind Sie geschützt? Wissen Sie was empfohlen ist? Bringen Sie den Impfausweis (auch den alten!!) mit. Wir prüfen Ihren Impfstatus, geben Ihnen Empfehlungen. Die gängigsten Impfstoffe haben wir auch vorrätig und können Sie impfen. >> zurück << Brustultraschall Die Ultraschalluntersuchung der Brust (Mammasonografie) kommt zur Abklärung von krankhaften Veränderungen zur Anwendung oder als Zusatzuntersuchung in der Früherkennung von Brustkrebs bei sehr dichtem Gewebe oder familiärer Vorbelastung. Sie ersetzt nicht das organisierte Mammographiescreening und ist nicht Bestandteil der normalen Krebsfrüherkennung. Es handelt sich um eine schmerzfreie Untersuchung ohne Strahlenbelastung. Die Mammasonografie  ist auch als Wunschleistung (IGeL) möglich. >> zurück << Ultraschalluntersuchung der weiblichen Genitalorgane Die Ultraschalluntersuchung der weiblichen Genitalorgane kommt zur Abklärung von krankhaften Veränderungen des weiblichen Genitales zur Anwendung. Dabei werden mit einer hochfrequenten Vaginalsonde die Organstrukturen im kleinen Becken untersucht. Die Untersuchung ist bei schlanken und sehr jungen Frauen auch vom Bauch aus möglich, die Genauigkeit ist dabei technisch bedingt aber schlechter.  Sie ist nicht Bestandteil der normalen Krebsfrüherkennung. Auch diese Untersuchung ist als Wunschleistung (IGeL) möglich. >> zurück << Psychosomatische Grundversorgung Jede Erkrankung belastet die Seele. Eine seelische Belastung macht den Körper krank. Jeder weiß das. Die Zusammenhänge zwischen dem kranken Körper und der kranken Seele beschreibt die Psychosomatik. Ein "Gordischer Knoten", der nur schwer zu zerschlagen ist, oft ein langer Weg. Ziel ist es, diese Zusammenhänge zu erkennen und den Betroffenen zu helfen ihren Weg zu finden. Oft ist die Zusammenarbeit mit einer Psychologin/ Psychologen nötig. Wichtig ist die Hilfe bei den ersten Schritten. Laufen müssen Sie selbst. >> zurück << Chlamydienscreening Das Bakterium Chlamydia trachomatis kann beim Sex übertragen werden und zu Entzündungen und sogar zur Unfruchtbarkeit führen. Deshalb bezahlen die Krankenkassen bis zum vollendeten 25.Lebensjahr allen sexuell aktiven Frauen einen Suchtest auf Chlamydien. Sie müssen lediglich eine Urinprobe abgeben. Auch in jeder Schwangerschaft wird nach Chlamydien gefahndet. Da Frauen im Normalfall auch im Alter über 25Jahren sexuell aktiv sind und noch schwanger werden wollen bieten wir die Testung auch als Wunschleistung (IGeL) an. Der Test wird dann aus einem Abstrich aus dem Muttermund entnommen, dies kann bei der Krebsfrüherkennung mit gemacht werden. >> zurück << FOB-Test (früher Hämoccult) Im Alter von 50 bis 54Jahren bezahlen die Krankenkassen allen versicherten Frauen einen Stuhltest zur Früherkennung von Darmkrebs oder seiner Vorstufen. Mit 55Jahren können Sie sich entscheiden zwischen zwei Darmspiegelungen im Abstand von 10Jahren oder der Fortführung der Stuhlteste alle 2Jahre. Natürlich kann man Stuhlteste auch zwischen den Darmspiegelungen machen lassen oder auch bei Frauen jünger als 50. Wir bieten dies als Wunschleistung (IGeL) unseren Patienten an. >> zurück << Kontrazeption Ein selbstbestimmtes Leben als Frau ist bei uns in Deutschland eine Selbstverständigkeit. Das war nicht immer so.  Kinder-Küche-Kirche hieß es früher, damals, in der guten alten Zeit. Das ist zum Glück vorbei. Und begonnen hat alles mit der Pille. Frauen konnten endlich über ihren Körper selbst bestimmen, ohne Angst ihre Liebe leben.  Aber die Pille ist nicht alles. Viele Märchen sind im Umlauf, Fehlinformation. Aber auch fehlendes Wissen zu Risiken.  Wir beraten Sie gern. >> zurück << Geburtshilfliche Grundversorgung In der Schwangerenberatung werden die werdenden Muttis gemäß den geltenden Mutterschaftsrichtlinien vom Anfang der Schwangerschaft bis zur Abschlussuntersuchung (6-8 Wochen nach der Geburt) betreut. >> zurück << Geburtshilflicher Basisultraschall Nach Vorgabe der Mutterschaftsrichtlinie sind sind in der Schwangerschaft 3 Ultraschalluntersuchungen vorgesehen. Diese finden in der 8.-12. SWW, in der 18,- 22. SSW und in der 28.-32.SSW statt. Dabei werden der Zustand des Embryos/ Feten, des Fruchtwassers und der Plazenta beurteilt. >> zurück << Erweiterter Basisultraschall (Organscreening) zw. 18-22.SSW Bei der zweiten Ultraschalluntersuchung (zw.18.-22. SSW) erfolgt ein erweitertes Screening mit Beurteilung der Organstrukturen des Kindes. Diese Untersuchung ist Kassenleistung, kann aber bei Wunsch auch Abgewählt werden, dann wird nur der Basisultraschall durchgeführt. >> zurück << Doppler/Duplexsonografie des fetomaternalen Gefäßsystems Bei Aüffälligkeiten im Schwangerschaftsverlauf oder auch bei bestimmten Vorerkrankungen oder Erkrankungen in einer früheren Schwangerschaft kann es notwendig sein die Durchblutung des Mutterkuchens und der Gefäße des Kindes zu Untersuchen. Hier kommt das Dopplerverfahren als Erweiterung des normalen geburtshilflichen Ultraschalls zum Einsatz. Dies erlaubt eine schnelle Zustandsbeurteilung des Kindes pepaart mit einer zeitlich begrenzten Vorhersage über die weitere wahrscheinliche Entwicklung. Bei entsprechender Indikation ist diese Untersuchung als Kassenleistung abrechenbar. >> zurück << Infektionsscreening in der Schwangerschaft Die Suche nach Krankheitserregern im Krankheitsfall ist Kassenleistung. Routinemäßig prüfen wir Ihren Schutz vor Röteln und Windpocken , in jeder Schwangerschaft erfolgt ein Test auf Chlamydien. Zusätzlich empfehlen wir jeder Schwangeren einen Test auf eine Besiedelung mit Gruppe-B-Streptokokken vor der Geburt. Diese Streptokokken können zu schweren Atemwegsinfektionen des Neugeborenen führen. Eine vorbeugende Behandlung bei positivem Test kann dann unter der Geburt erfolgen. Bei Wunsch kann auch ein erweitertes Erregerscreening über unser Labor erfolgen (Wunschleistung). Eine wichtige Rolle spielt auch die Kontrolle auf einen Schutz gegen eine Toxoplasmoseinfektion. Bei fehlendem Schutz empfielt sich die regelmäßige Testung aus dem Blut auf eine frische Infektion. Auch dies ist eine Privatleistung, wird aber von den meisten Kassen erstattet. Eine nicht erkannte und somit nicht behandelte Erstinfektion in der Schwangerschaft kann zu schweren Schäden beim Kind führen. >> zurück << CTG Ab etwa der 30.Schwangerschaftswoche können wir bei Notwendigkeit im Ramen der Schwangerschaftsvorsorge die kindlichen Herztöne (Kardiographie) und simultan dazu die die Spannung der mütterlichen Bauchdecke (Wehenschreiber, Tokographie) graphisch darstellen. Das nennt man zusammen Kardiotokographie oder kurz einfach CTG. Die Auswertung des CTG‘s erfolgt nach dem Fisher-Score (Punkte-System) sowie nach qualitativen Kriterien und erlaubt uns eine gute Zustandsbeurteilung des Kindes in den späteren Schwangerschaftswochen. >> zurück <<
zuletzt aktualisiert am 07.10.2020